Resonancia Schumann: Cómo la Tierra afecta al cerebro y la conciencia
11/3/2026 | Científicos exploran la profunda conexión entre las pulsaciones electromagnéticas del planeta y los procesos cognitivos humanos
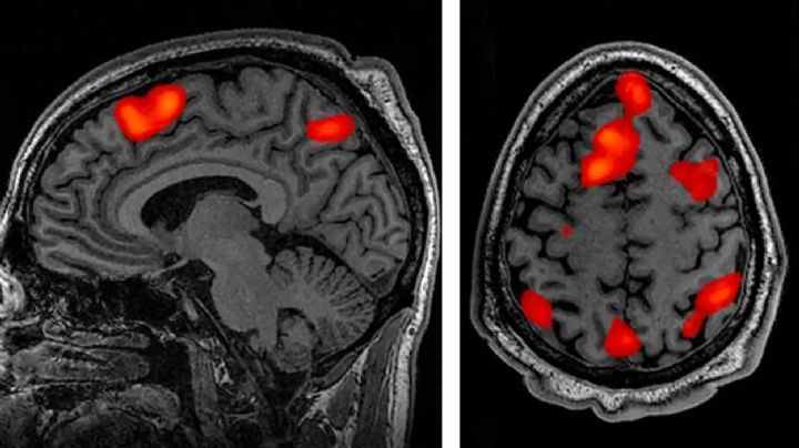
11/3/2026 | Científicos exploran la profunda conexión entre las pulsaciones electromagnéticas del planeta y los procesos cognitivos humanos
26/2/2026 | Pese a todos los beneficios, los especialistas advierten que no se trata de un alimento milagro, sino de un complemento dentro de una dieta balanceada
19/10/2025 | Durante años, esta costumbre ha sido malinterpretada y estigmatizada, pero investigaciones recientes en psicología cognitiva demuestran que tiene beneficios reales para el cerebro
26/9/2025 | La APA (Asociación Americana de Psicología) advierte que el uso prolongado de TikTok afecta la salud emocional
21/9/2025 | El Dr. Rafael Villino, especialista del Departamento de Neurología de la Clínica Universidad de Navarra, explica la delgada línea entre los olvidos normales y aquellos que requieren atención médica
4/10/2024 | Un hombre fue visto caminando por las calles con una grave herida en la cabeza que dejó parte de su cráneo y cerebro expuestos
4/7/2023 | Una psiquiatra nutricional asegura que lo que comemos tiene influencia directa en nuestra salud mental; conoce cuáles son los alimentos esenciales que te ayudarán a mantenerla
27/2/2022 | Nuevos datos de experimentos han sugerido que la vida puede pasar ante nuestros ojos mientras morimos.
6/12/2021 | El sildenafil fue diseñado originalmente como un medicamento para el corazón debido a su acción principal: mejorar el flujo sanguíneo al relajar o ensanchar los vasos sanguíneos