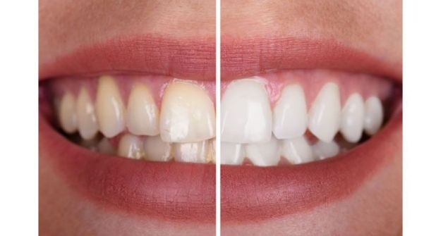
Una cuestión sumamente importante en la salud humana es el cuidado de la dentadura, para poder comer los alimentos como es debido o simplemente para tener una sonrisa atractiva. En este sentido, es importante realizar bien la higiene bucal, sabiendo además cómo mantener los dientes blancos.
Evidentemente el consumo de ciertas bebidas como refrescos, café o vino, pueden hacer que la tonalidad de las piezas dentales se torne amarilla al acumular sarro o manchas de estas. Los fumadores también son muy propensos a mostrar esta coloración.
Para lo anterior hay tratamientos llamados blanqueamientos dentales que suelen costar un poco de dinero, pero, si lo tuyo son los remedios caseros, estos también te pueden ofrecer la misma eficacia si mantienes el régimen constante.
Nota: Es importante recalcar que, naturalmente, no existen los dientes completamente blancos, siendo una manipulación de los medios por tener un color artificial en la sonrisa. Así que si buscas un color así de blanco, lo mejor es que vayas con un especialista para realizar un procedimiento profesional.
Bicarbonato de sodio
Uno de los más clásicos y conocidos es el cepillar tus dientes con pasta dental y con bicarbonato de sodio, el cual gracias a sus propiedades naturales ayudarán a blanquear tus piezas dentales y mantenerlas libres de las odiosas manchas dejadas por la comida.
Debido a que es es considerado un abrasivo de primer nivel, es recomendable no usarlo muy seguido, pues podría desgastar tu esmalte natural y afectar la sensibilidad de tus nervios.
Agua oxigenada
Poco recomendable pero muy efectivo si se combina con el anterior producto. Utilizado normalmente para desinfectar heridas, el agua oxigenada también puede funcionar para el blanqueamiento.
Esta es una opción que debe manejarse con cuidado, pues el uso del agua oxigenada genera hipersensibilidad si se usa regularmente. La idea es mezclarlo de vez en cuando con bicarbonato de sodio, dentrífico, o incluso como enguaje antes de proceder a la limpieza.
Dieta a base de frutas
Contrario a lo que se puede pensar, una dieta basada en frutas, dejando de lado los alimentos manchadores como café, vino, o el fumar, ayudarán a blanquear naturalmente los dientes por las mismas vitaminas y minerales aportados.
La fresa y la piña son las más recomendadas; la primera por su contenido de ácido málico ayudará a quitar poco a poco la suciedad dejada en la placa, y la segunda por una enzima llamada bromelina, recomendada para enfrentar la gingivitis y que además funciona como quitamanchas natural.
Cepillarse y usar hilo dental
Una opción más que obvia es seguir el régimen de limpieza dental: lavarse los dientes tres veces al día después de cada alimento, y usar seda dental, ayudarán a combatir más que nada las mantas dejadas por la comida, fumar y beber.
